Artificial Intelligence and Applied Machine Learning Group

The Applied Artificial Intelligence and Machine Learning Group of iCoSys in Fribourg Switzerland is active in domains such as :

  • Artificial Intelligence,
  • Machine learning,
  • Big data analysis,
  • Signal processing,
  • Algorithms

Machine Learning for enterprise solutions

Our main focus is to work with economic partners on applied machine learning projects. We have ongoing project realisations in different domains such as biomedical, video surveillance, electricity consumption analysis, financial time series, massive text processing, Industry 4.0, etc. Partnerships are typically done through research mandates, CTI funding or EU framework projects.

Our team includes seniors in AI and Machine Learning, PhD-level and master-level computer scientists to make the best out of your projects. Contact Jean Hennebert for more information.

Projects

Innosuisse project to research predictive maintenance approaches on combustion engines from Liebherr.
FomoTSF explores the possibilities to use foundation models for time-series forecasting.
Partially sighted persons are daily struggling in non-codified situations where objects are new or at unexpected location. This project aims to put the latest AI findings (Zero-shot object discovery and finding) at the service of these people in such a way they can carry out their daily tasks with less dependency on other persons.
ModIA creates digital twins using a hybrid approach of machine learning and physics
The goal of the DiagnoBat is to create an AI-driven platform dedicated to monitoring building and establish diagnostics. It integrates new data capture and visualization solutions, along with the latest AI advances for signal analysis.
In this study we analyse video data from Swiss highways with custom object detection models to identify the types of trucks on a certain highway strip. A custom dataset has been created to train and evaluate ML models. YOLO performs well and gives very interesting classification results despite the presence of several challenges like motion, shadow and inter-class similarity.
The goal of the Greenum project is to use a camera and image analysis models to study the flow of movement in a given space.
PeNoBe (Peak Noise Behaviour) studies the classification of vehicles into electric, gasoline and hybrid classes.
Project to improve DNA sequence analysis using machine learning to predict sequencing artefacts with Phenosystems SA as the industrial partner.
Innosuisse project developing a personalized meeting assistant based on LLM technologies with the startup Wedo, based in Fribourg
Detect and predict anomalies in high performance electrical transfomers
Innosuisse project using machine learning to develop a sommelier in your pocket
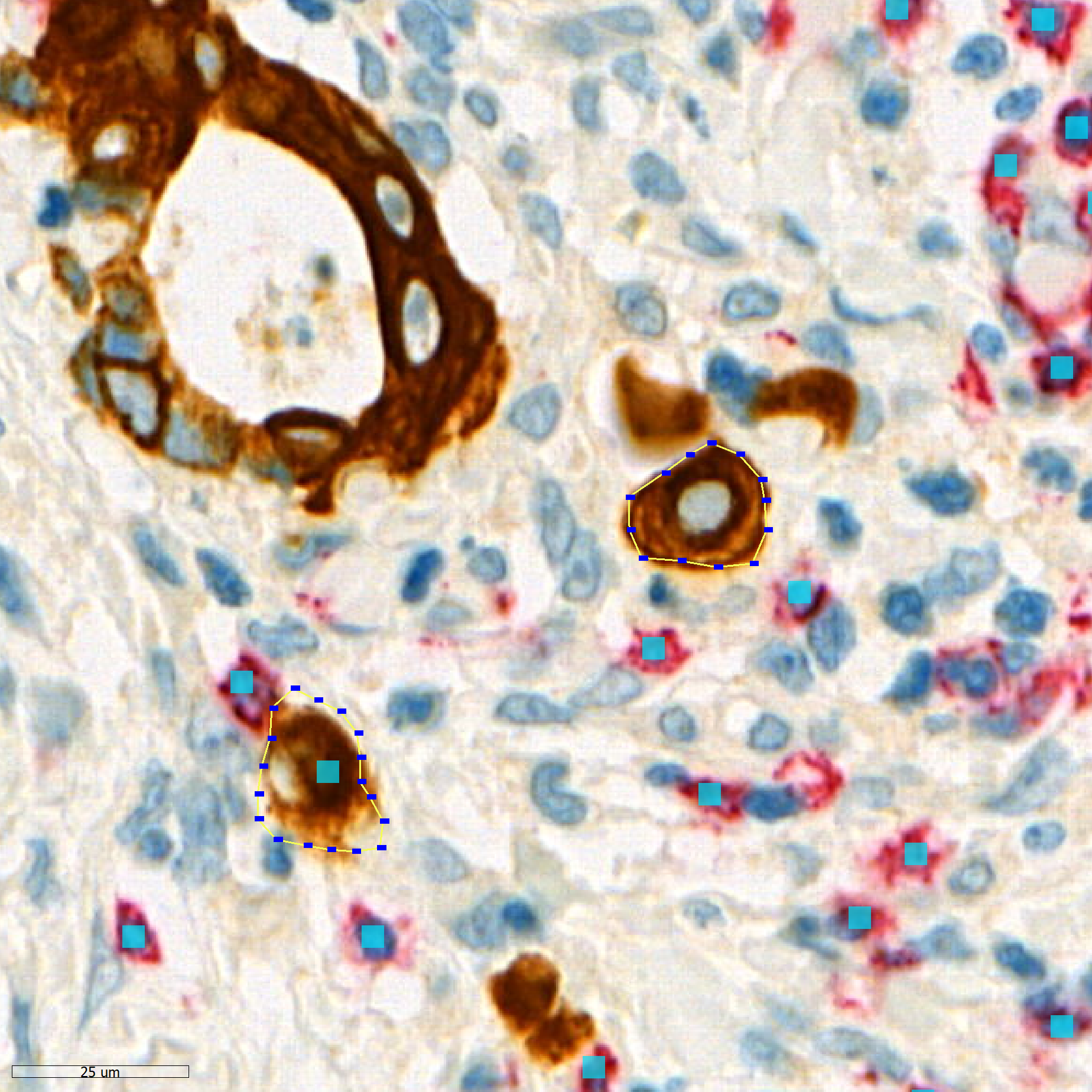
In this project, we are developing geometric deep learning methods to support pathologists in the diagnostic process. Specifically, we are looking at tumor buds and lymphocytes in colorectal cancer and their spatial relationship.
The European project BIOSMART aims to develop active and smart bio-based and compostable packages that make possible: light weighting, reduced food residues, shelf life monitoring, longer shelf life and easier consumer waste handling.
In the context of Facility 4.0, we will study the optimization of buildings energy consumption hand in hand with our partners. This will allow us to focus on real world anomalies in the vast amount of data at our disposal; thanks to our BBData infrastructure.
In an international industrial research project we apply the latest technologies in machine learning to do handwriting recognition in tax forms.
The AINews project aims to provide intelligent conversational agent technologies that support the digital transformation of the press. These technologies will help make the information channel dynamic through dialogues, retain readers through content customization and optimize editorial directions through maps of interests on common topics.
ADVANCe is an Innosuisse funded project that focuses on the analysis of emotions and their congruence in video feeds. We partner in this project with IDIAP (Martigny) and CM Profiling (Bern).
BBDATA stands for Big Building Data and aims at developing a scalable cloud platform and tools for storing and processing smart building data. The services are targeting data access, processing and analysis, using open, robust, standardized and secured big data technologies.
DLL is a machine learning framework that aims to provide a C++ implementation of neural networks and convolutional neural networks. The implementation provides significant speedups on cpu in comparison to other frameworks such as TensorFlow or Torch. It is then dedicated to the use phase of such deep models where performance on cpu is requested, such as in industry 4.0 applications.

All projects here.